กรณีทนพ.ภาคภูมิ เดชหัสดิน หรือหมอแล็บแพนด้า นักเทคนิคการแพทย์ คณะสหเวชศาสตร์ จุฬาลงกรณ์มหาวิทยาลัย โพสต์เฟซบุ๊ก หมอแล็บแพนด้า โพสต์ภาพฟิล์มเอกซเรย์ของผู้ป่วยหญิงสาวคนหนึ่ง หลังกินไข่พยาธิเข้าไป เพราะหวังจะช่วยลดน้ำหนัก ปรากฏว่าเป็นอันตรายต่อร่างกายอย่างมาก โดยภาพที่หมอแล็บแพนด้า ได้โพสต์ มีข้อความระบุว่า
ผู้ป่วยเป็นสาวต่างชาติ ให้ประวัติว่า 1 ปี มีน้ำหนัก 150 กก. กังวลเรื่องน้ำหนักมาก อ่านพบข้อมูลออนไลน์ว่า การกินไข่พยาธิสามารถทำให้น้ำหนักตัวลดลงได้
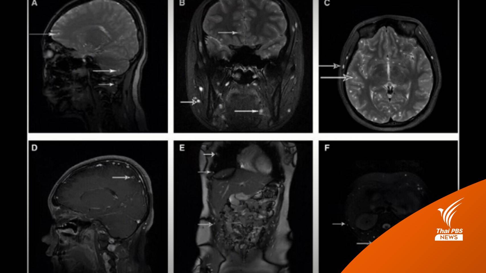
ไทยพีบีเอส สืบค้นถึงไปต้นโพสต์ พบว่าเป็นแพทย์หญิงคนหนึ่งที่ได้นำมาโพสต์เคสกรณีศึกษาผู้ป่วยที่มีอาการปวดหัวและปวดท้องเรื้อรัง 4 เดือนก่อน ผู้ป่วยเคยเข้ารับการรักษาที่โรงพยาบาล เนื่องจากปวดหัว และอาเจียน ตอนนั้นผู้ป่วยได้รับการทำ CT ที่ศีรษะและท้อง
แพทย์อ่านผลว่าปกติ ตอนนั้นแพทย์วินิจฉัยว่าเป็นไข้สมองอักเสบ และภาวะความดันในกะโหลกศีรษะสูงโดยไม่ทราบสาเหตุ แต่หลังทำการรักษากลับไม่หายจึงได้ทำ MRI จึงได้เห็นภาพดังกล่าว
เมื่อซักประวัติเพิ่มเติมจึงยอมรับว่า เคยกินไข่พยาธิเข้าไปจริง เพื่อลดน้ำหนัก โดยซื้อกินในรูปแบบแคปซูล ซึ่งเคสนี้หมอได้ให้ให้ยาฆ่าพยาธิหลายชนิด โดยให้กินครั้งแรกนาน 10 วัน แล้วขยายเป็น 20 วัน หลังผ่านไป 4 คอร์ส พบว่าพยาธิได้หายไปทั้งหมด
นอกจากนี้ เพจหมอแล็บแพนด้า ได้เขียนข้อความเตือนถึงอันตรายของการบริโภคไข่พยาธิ เอาไว้ว่า การกินไข่พยาธิตัวตืด ถือว่าอันตรายมาก เพราะไข่พยาธิจะค่อยๆ โตเป็นระยะตัวอ่อนเม็ดสาคู แทรกอยู่ในร่างกายคนตามอวัยวะต่างๆ เช่น สมอง ตา หัวใจ ปอด และกล้ามเนื้อ ถ้ามันไปอยู่ในอวัยวะที่สำคัญๆ เช่น ถ้าเข้าตาก็อาจตาบอดได้ หรือในสมองและไขสันหลัง บางรายก็ถึงขั้นเสียชีวิตได้
ขายแคปซูลไข่พยาธิมีจริงในออนไลน์
ไทยพีบีเอส ตรวจสอบพบว่า การซื้อไข่พยาธิ เพื่อนำมาใช้ลดความอ้วน ทำได้ง่ายจริงหรือไม่ จากการค้นหาบนโลกออนไลน์ พบเว็บไซต์หนึ่งของต่างประเทศที่อ้างว่า จำหน่ายแคปซูลไข่พยาธิ เพื่อลดความอ้วน มีการอวดอ้างสรรพคุณต่างๆ
และระบุถึงแหล่งที่มา โดยราคา 1 กระปุกอยู่ที่กว่า 1,200 บาท พร้อมส่งภายใน 3 เดือน แต่ยังไม่ชัดเจนว่า เป็นเว็บที่ขายไข่พยาธิจริงๆ หรือเพื่อหลอกเอาเงินเท่านั้น เพราะจะต้องมีการจ่ายเงินผ่านทางออนไลน์
แท็กที่เกี่ยวข้อง:











