โรคเม็ดเลือดแดงรูปเคียว หรือ Sickle Cell Disease (SCD) เป็นกลุ่มอาการทางเม็ดเลือดแดงชนิดหนึ่ง เกิดขึ้นจากการผิดรูปของโปรตีนฮีโมโกลบิน (Hemoglobin) ในเซลล์เม็ดเลือดแดง (Red Blood Cell) ทำให้เม็ดเลือดแดงเกิดมีรูปร่างคล้ายเคียว จึงเรียกว่าโรคเม็ดเลือดแดงรูปเคียว
SCD เป็นโรคที่เกิดขึ้นจากการถ่ายทอดทางพันธุกรรม และมักเริ่มแสดงอาการตั้งแต่ในเด็กอายุหกเดือน ด้วยรูปร่างของเม็ดเลือดแดงที่ผิดรูปไป ทำให้การไหลเวียนของเลือดจึงผิดปกติ และอาจทำให้เกิดการอุดตันในหลอดเลือดฝอยได้ ผู้ป่วยจึงมักจะมีอาการของโรคโลหิตจาง ปวดบวมตามข้อหรือปลายนิ้ว

SCD มักมีผลกระทบรุนแรงต่อผู้ป่วยในวัยเด็ก เนื่องจากอาการมักแสดงก่อนที่เด็กจะมีอายุได้ครบหนึ่งปี ในช่วงแรกมักจะเป็นอาการปวดบวมของปลายนิ้วมือนิ้วเท้าเนื่องจากการอุดตันของเส้นเลือดฝอย ตามมาด้วยอาการเกี่ยวข้องกับภาวะโลหิตจาง เนื่องจากเม็ดเลือดแดงที่มีรูปร่างผิดปกติจะไม่สามารถนำพาออกซิเจนไปเนื้อเยื่อได้อย่างมีประสิทธิภาพ
เนื่องจาก SCD เป็นโรคทางพันธุกรรม ปัจจุบันจึงยังไม่มีวิธีการรักษา ในระยะเรื้อรัง เม็ดเลือดที่ผิดรูปมักจะสร้างความเสียหายต่อระบบอวัยวะทุกระบบอย่างช้า ๆ ภาวะที่เกิดขึ้นได้บ่อยคือ Vaso-occlusive Crisis (VOC) หรือ “การกำเริบ” ของ SCD เกิดขึ้นได้ทั้งในผู้ป่วยเด็กและผู้ใหญ่ ผู้ป่วยจะมีอาการเจ็บอย่างรุนแรงที่บริเวณใดบริเวณหนึ่งอย่างฉับพลัน เช่น อก หลัง ขา หรือแขน อันเกิดจากการอุดตันของเส้นเลือดฝอยจากเม็ดเลือดแดงที่ผิดรูป ทำให้เนื้อเยื่อขาดออกซิเจน
นอกจากนี้ VOC อาจเกิดขึ้นในปอดได้ การอุดตันของเส้นเลือดฝอยภายในปอดอาจทำให้ผู้ป่วยขาดออกซิเจนได้ VOC ที่เกิดขึ้นในปอดเป็นสาเหตุของการเสียชีวิตของหนึ่งในสี่ของผู้ป่วย SCD
การเกิด VOC มักจะต้องมีตัวกระตุ้นที่ทำให้เส้นเลือดเกิดการหดตัว (Vasoconstriction) เช่น ความเครียด ความหนาวเย็น หรือการขาดน้ำ เม็ดเลือดแดงที่ปกติมีความยืดหยุ่นสูงจะสามารถผ่านเส้นเลือดฝอยที่แคบมาก ๆ จากการหดตัวได้ ขณะที่เม็ดเลือดแดงรูปเคียวจะไม่สามารถผ่านเส้นเลือดที่หดตัวได้และก่อให้เกิดการอุดตัน

ม้ามเป็นหนึ่งในอวัยวะที่เสี่ยงต่อความเสียหายจากเม็ดเลือดแดงผิดรูป เนื่องจากม้ามมีหน้าที่ เม็ดเลือดแดงที่ผิดรูปอาจอุดตันกลไกการทำงานของม้ามได้ ส่งผลให้เกิดภาวะเลือดคั่งในม้ามและภาวะม้ามบวม การไหลเวียนของเลือดจึงมีการอุดตันและอาจเกิดภาวะโลหิตจางตามมา อาการที่เกี่ยวกับม้ามมักเกิดขึ้นในเด็กมากกว่าผู้ใหญ่

SCD เป็นโรคทางพันธุกรรมซึ่งเกิดขึ้นจากการกลายพันธุ์ของยีนที่เป็นต้นแบบในการสังเคราะห์โปรตีนฮีโมโกลบิน มีลักษณะการถ่ายทอดแบบยีนด้อยบนโครโมโซมร่างกาย (Autosomal Recessive) กล่าวคือ ลูกจะต้องได้รับยีนด้อยจากทั้งพ่อและแม่มา จึงจะเป็นโรค SCD หากได้รับยีนด้อยมาเพียงฝั่งเดียว ลูกจะเป็นเพียงพาหะ เม็ดเลือดแดงบางส่วนในร่างกายจะผิดรูป แต่ไม่แสดงอาการ
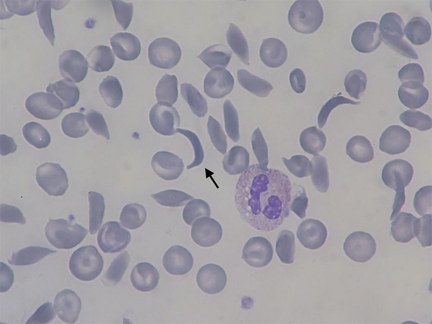
การตรวจหาโรค SCD ทำได้โดยการตรวจเลือดเพื่อส่องกล้องจุลทรรศน์ (Blood Smear) หาความผิดปกติของรูปร่างเม็ดเลือด วิธีนี้สามารถใช้ตรวจหาผู้ป่วย SCD ได้โดยตรง แต่ไม่สามารถตรวจผู้ป่วยที่เป็นพาหะโรค SCD ได้ ต้องหันไปตรวจพันธุกรรมแทน

เดิมที SCD แพร่หลายในบริเวณที่มีการระบาดของโรคมาลาเรีย (Malaria) ซึ่งเป็นปรสิตเม็ดเลือดแดง เช่น ในแถบแอฟริกา อินเดีย และตะวันออกกลาง ทั้งนี้เป็นเพราะว่ารูปร่างเม็ดเลือดที่ผิดปกติใน SCD ทำให้มาลาเรียซึ่งมีวัฏจักรชีวิตในเม็ดเลือดแดงไม่สามารถเติบโตและสืบพันธุ์ได้อย่างมีประสิทธิภาพ ผู้ที่เป็น SCD หรือเป็นพาหะจึงมีโอกาสติดเชื้อมาลาเรียน้อยกว่า
อย่างไรก็ตาม ผู้ที่เป็น SCD หากติดเชื้อมาลาเรียขึ้นมาจริง มักจะมีอาการรุนแรงกว่าคนปกติเนื่องจากมีอาการแทรกซ้อนของ SCD โดยตรงควบรวมกับอาการของโรคมาลาเรีย ขณะที่ผู้ที่เป็นเพียงพาหะจะอยู่ระหว่างสมดุลของโอกาสติดเชื้อที่น้อยกว่าจากเม็ดเลือดที่ผิดรูปเพียงเล็กน้อยกับไม่มีอาการของ SCD ดังนั้นผู้ที่เป็นพาหะ SCD จึงแพร่หลายในพื้นที่ที่มีการระบาดของโรคมาลาเรีย
เรียบเรียงโดย โชติทิวัตถ์ จิตต์ประสงค์
อัปเดตข้อมูลแวดวงวิทยาศาสตร์ เทคโนโลยี รู้ทันโลกไอที และโซเชียลฯ ในรูปแบบ Audio จาก AI เสียงผู้ประกาศของไทยพีบีเอส ได้ที่ Thai PBS
“รอบรู้ ดูกระแส ก้าวทันโลก” ไปกับ Thai PBS Sci & Tech




















