ซิสติกไฟโบรซิส (Cystic Fibrosis) หรือที่เรียกสั้น ๆ ว่า CF เป็นโรคทางพันธุกรรมที่ส่งผลกระทบต่อชีวิตผู้ป่วยอย่างรุนแรงและตลอดชีวิต หัวใจสำคัญของโรคนี้ไม่ได้เกิดจากการติดเชื้อจากภายนอก แต่เกิดจากความผิดปกติที่ฝังลึกอยู่ในรหัสพันธุกรรมภายในร่างกาย สาเหตุของโรคเกิดจากการถ่ายทอดทางพันธุกรรมแบบยีนด้อยบนโครโมโซมคู่ที่เจ็ด หมายความว่าเด็กที่จะป่วยเป็นโรคนี้ได้ จะต้องได้รับยีนที่ผิดปกติมาจากทั้งพ่อและแม่ หากได้รับจากฝ่ายใดฝ่ายหนึ่งเพียงคนเดียว เด็กคนนั้นจะเป็นเพียงพาหะที่ไม่แสดงอาการแต่สามารถส่งต่อยีนนี้ไปยังรุ่นลูกหลานได้

ต้นตอของปัญหาทั้งหมดอยู่ที่ยีนตัวหนึ่งที่มีชื่อว่า CFTR ซึ่งทำหน้าที่เปรียบเสมือนวิศวกรควบคุมประตูน้ำของเซลล์ โดยปกติแล้วยีนนี้จะมีข้อมูลบอกให้เซลล์สามารถสร้างโปรตีนทำหน้าที่เป็นช่องทางเปิด-ปิดให้เกลือ (คลอไรด์) และน้ำ ไหลผ่านเข้าออกจากเซลล์ได้อย่างสมดุล

แต่ในผู้ป่วย CF เกิดการกลายพันธุ์ของยีนนี้ รูปแบบที่พบบ่อยที่สุดเรียกว่า ΔF508 ซึ่งทำให้โปรตีนที่เป็นประตูน้ำนี้บิดเบี้ยว เสียหาย หรือหายไปจากผิวเซลล์ เมื่อประตูน้ำพัง ร่างกายจะไม่สามารถควบคุมการเคลื่อนที่ของเกลือและน้ำได้ ทำให้เกิดภาวะขาดสมดุลของของเหลวในระดับเซลล์อย่างรุนแรง
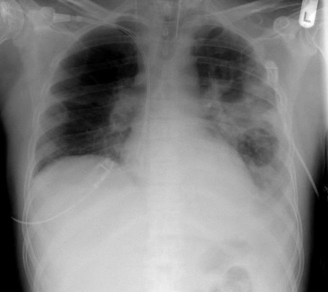
ผลลัพธ์จากความผิดปกติทางพันธุกรรมนี้นำไปสู่กลไกการเกิดโรคที่ชัดเจนที่สุด ได้แก่ ความข้นเหนียว ปกติแล้วอวัยวะที่มีการสร้างเมือก เช่น ปอด และตับอ่อน จะมีน้ำหล่อเลี้ยงทำให้เมือกมีความเหลวและเคลื่อนที่ได้ แต่ในผู้ป่วย CF เมื่อเกลือและน้ำไม่สามารถเคลื่อนที่ผ่านเซลล์ได้ตามปกติ เมือกเหล่านั้นจึงขาดน้ำและกลายเป็นเมือกที่ข้นเหนียวคล้ายกาวแป้งเปียก ความเหนียวหนืดนี้เองที่เป็นตัวร้ายเข้าไปอุดตันตามท่อและช่องทางเดินต่าง ๆ ทั่วร่างกาย โดยเฉพาะในระบบทางเดินหายใจและระบบย่อยอาหาร
อาการที่ตามมาจึงแสดงออกผ่านอวัยวะที่มีเมือกอุดตัน หากเกิดที่ปอด เมือกข้นเหนียวจะเข้าไปอุดตันหลอดลมฝอย ทำให้ขนขนาดเล็กในปอดไม่สามารถโบกพัดสิ่งสกปรกออกมาได้ กลายเป็นแหล่งสะสมของแบคทีเรียชั้นดี นำไปสู่การติดเชื้อในปอดซ้ำซาก ไอเรื้อรัง และปอดอักเสบจนเนื้อเยื่อปอดถูกทำลาย ในขณะเดียวกันที่ระบบย่อยอาหาร เมือกเหนียวจะไปอุดตันท่อตับอ่อน ขัดขวางไม่ให้น้ำย่อยเดินทางไปย่อยอาหารที่ลำไส้เล็ก ผู้ป่วยจึงมักมีปัญหาการดูดซึมสารอาหาร ถ่ายอุจจาระเป็นมัน ร่างกายผอมแห้งแม้กินอาหารมาก และขาดวิตามิน นอกจากนี้ยังมีอาการที่เป็นเอกลักษณ์คือ ผิวหนังมีรสเค็มจัด เนื่องจากความผิดปกติของช่องทางเกลือที่ต่อมเหงื่อทำให้ร่างกายสูญเสียเกลือออกมาทางผิวหนังมากกว่าคนปกติ

ในปัจจุบันโรคซิสติกไฟโบรซิส ยังเป็นโรคที่รักษาไม่หายขาด ผู้ป่วยต้องอยู่กับโรคนี้ไปตลอดชีวิต เป้าหมายของการรักษาจึงเน้นไปที่การประคับประคองอาการและยืดอายุขัย การจัดการโรคในแต่ละวันเป็นเรื่องที่ต้องใช้ความอดทนสูง ผู้ป่วยต้องทำกายภาพบำบัดปอดด้วยการเคาะปอดหรือใช้เสื้อสั่นปอดเพื่อระบายเสมหะที่เหนียวข้นออกมา ต้องรับประทานยาปฏิชีวนะเพื่อควบคุมการติดเชื้อ และต้องกินเอนไซม์ช่วยย่อยอาหารในทุกมื้อ

อย่างไรก็ตาม ความหวังของผู้ป่วยในยุคปัจจุบันดีกว่าในอดีตมาก ด้วยพัฒนาการทางการแพทย์ที่มีการคิดค้นยากลุ่มใหม่ที่เรียกว่า Modulators ซึ่งสามารถเข้าไปแก้ไขความผิดปกติที่ตัวโปรตีน CFTR ได้โดยตรง ทำให้กลไกการแลกเปลี่ยนเกลือและน้ำกลับมาทำงานได้ดีขึ้น แม้ยาจะมีราคาแพงมหาศาล แต่ก็ช่วยเปลี่ยนจากโรคที่เคยพรากชีวิตเด็กตั้งแต่วัยทารก ให้กลายเป็นโรคเรื้อรังที่ผู้ป่วยสามารถเติบโต เรียนหนังสือ และมีชีวิตอยู่จนถึงวัยผู้ใหญ่ได้ แต่หากอาการทรุดหนักจนปอดเสียหายถาวร การปลูกถ่ายปอดจะเป็นทางเลือกสุดท้ายในการต่อลมหายใจ แม้จะไม่ใช่การรักษาที่ต้นเหตุของพันธุกรรมก็ตาม
เรียบเรียงโดย
โชติทิวัตถ์ จิตต์ประสงค์
ภาควิชาศัลยศาสตร์ออร์โธปิดิกส์และการบาดเจ็บ
คณะแพทยศาสตร์ มหาวิทยาลัย The Chinese University of Hong Kong
อัปเดตข้อมูลแวดวงวิทยาศาสตร์ เทคโนโลยี รู้ทันโลกไอที และโซเชียลฯ ในรูปแบบ Audio จาก AI เสียงผู้ประกาศของไทยพีบีเอส ได้ที่ Thai PBS
“รอบรู้ ดูกระแส ก้าวทันโลก” ไปกับ Thai PBS Sci & Tech




















